Reliable Dentist in Oakville For Quality Care
Proudly Serving as a Family Dentist in Oakville Since 1992




Enhance the Quality of Your Smile at Our Dental Clinic Oakville
Your smile deserves attention at every stage of your life. If you want to enhance your smile while improving and protecting your oral health and hygiene, having access to quality dental services in Oakville will make all the difference. Phelan Dental Clinic in Oakville offers a range of services such as general, restorative, preventative, and cosmetic dentistry, as well as fast and effective emergency dental care for unexpected accidents or injuries. Our state-of-the art dental care center offers a range of services that will have you smiling again. Enjoy caring and compassionate service that caters to the whole family.
Proudly serving as a dentist in Oakville since 1992, the team at Phelan Dental Clinic offers a wide range of services designed to enhance and protect your smile. Enjoy quality preventative and general dentistry with regular deep cleanings, mouthguards, and fillings. Gain a whiter, brighter smile with cosmetic dentistry options such as teeth whitening and Invisalign. Or, for those missing one or more teeth, our restorative dentistry services such as dental implants, and dental crowns can have you enjoying the smile that you have been looking for. We also offer a dentures that provides strength and support to your teeth.
Services Offered by your dentist Oakville
Schedule Your Appointment at a Dental Clinic in Oakville Today
Get a healthy, gorgeous smile at your dental clinic in Oakville from the leading Oakville dental team. To schedule your appointment today with our team, call us at (289) 813-8243.
Request A consultation
Meet Dr. Phelan
Nothing makes me happier than seeing a smile transformed. Restoring or enhancing your smile needs to pay off over the long run. It combines the beauty of your smile with the function of your bite, muscles, and jaw joint. Balancing this with your personal desires is my top focus as we work together to help you achieve your dreams.
SMILE MAKEOVERS
For every unique smile – including yours – we have many cosmetic treatments that make the incredible difference between hiding a smile and using it with confidence. Let’s talk about what we could do for you … and get you smiling!
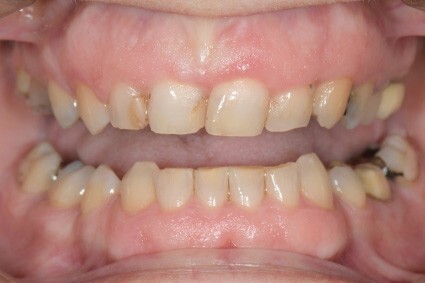
Before

After

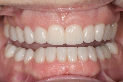
Before

After

FULL-MOUTH REHABILITATION
If you need most of your teeth repaired or replaced – whether from decay, trauma, a bad bite, or gum disease – a full-mouth rehabilitation will help you smile with pain-free confidence. Dr. Phelan has the training and expertise to assess – and correct – bite issues while rehabilitating your smile using the highest quality materials for the best possible results. From diagnostic wax-ups to temporaries to the final result, Dr. Phelan is only happy when you are.
Always Welcoming
New Patients
Gentle diagnostics, comforting amenities, a wide range of services, and expert dental team await you Phelan Dental. Whether you’re looking for a new family dentist in Oakville for your family or desire cosmetic dental care – or even a complete smile makeover – we’d love to meet you!