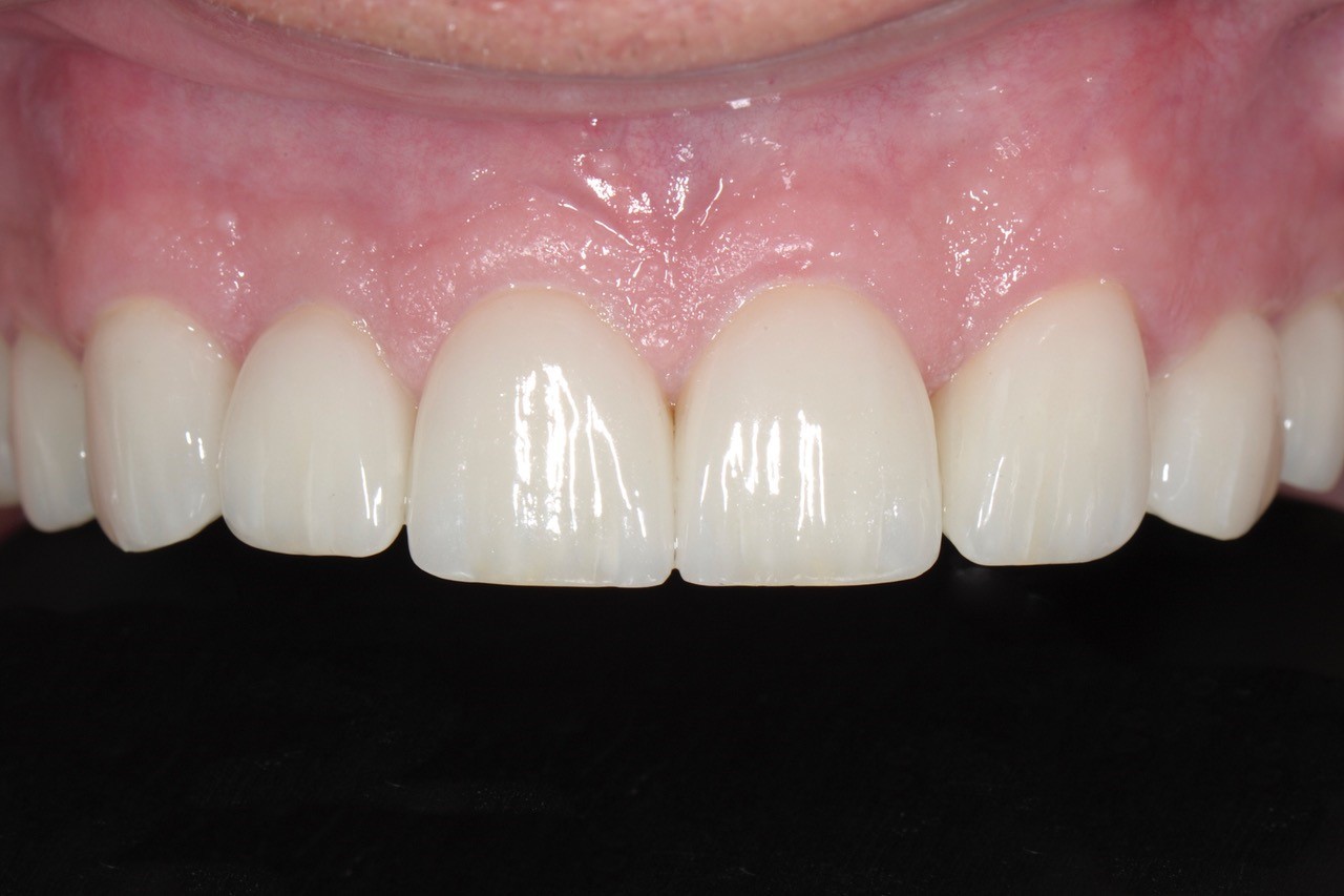
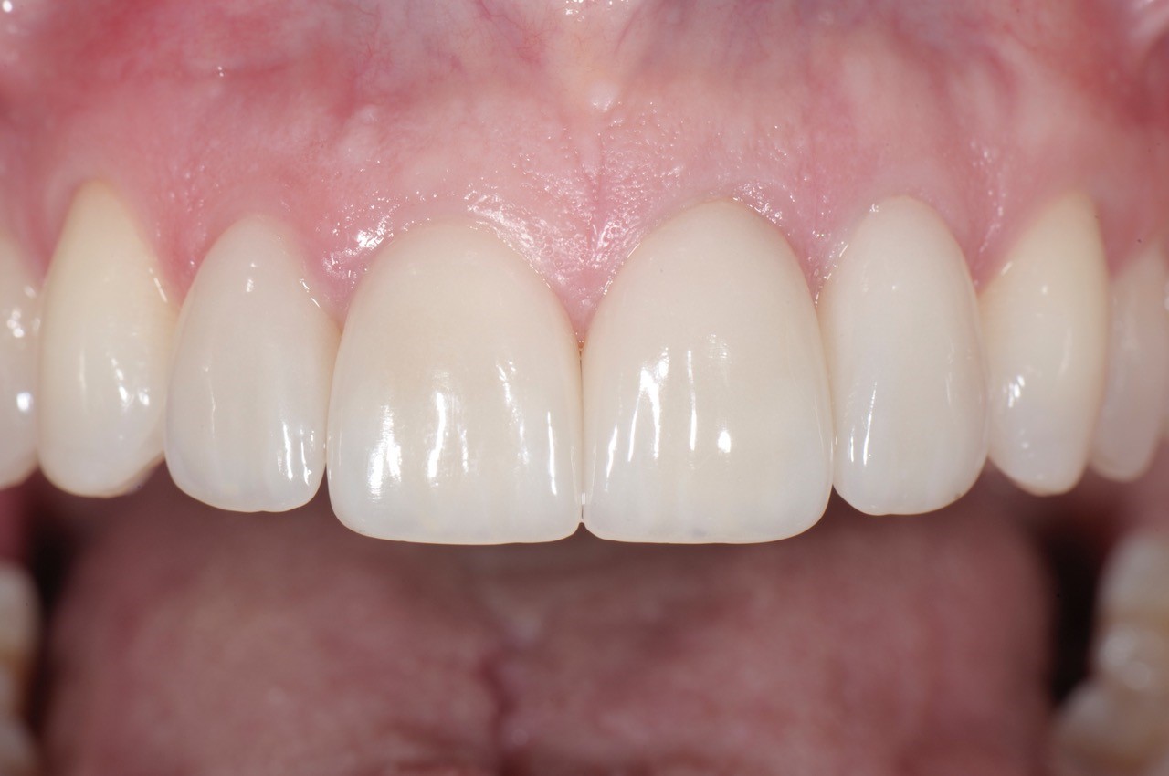
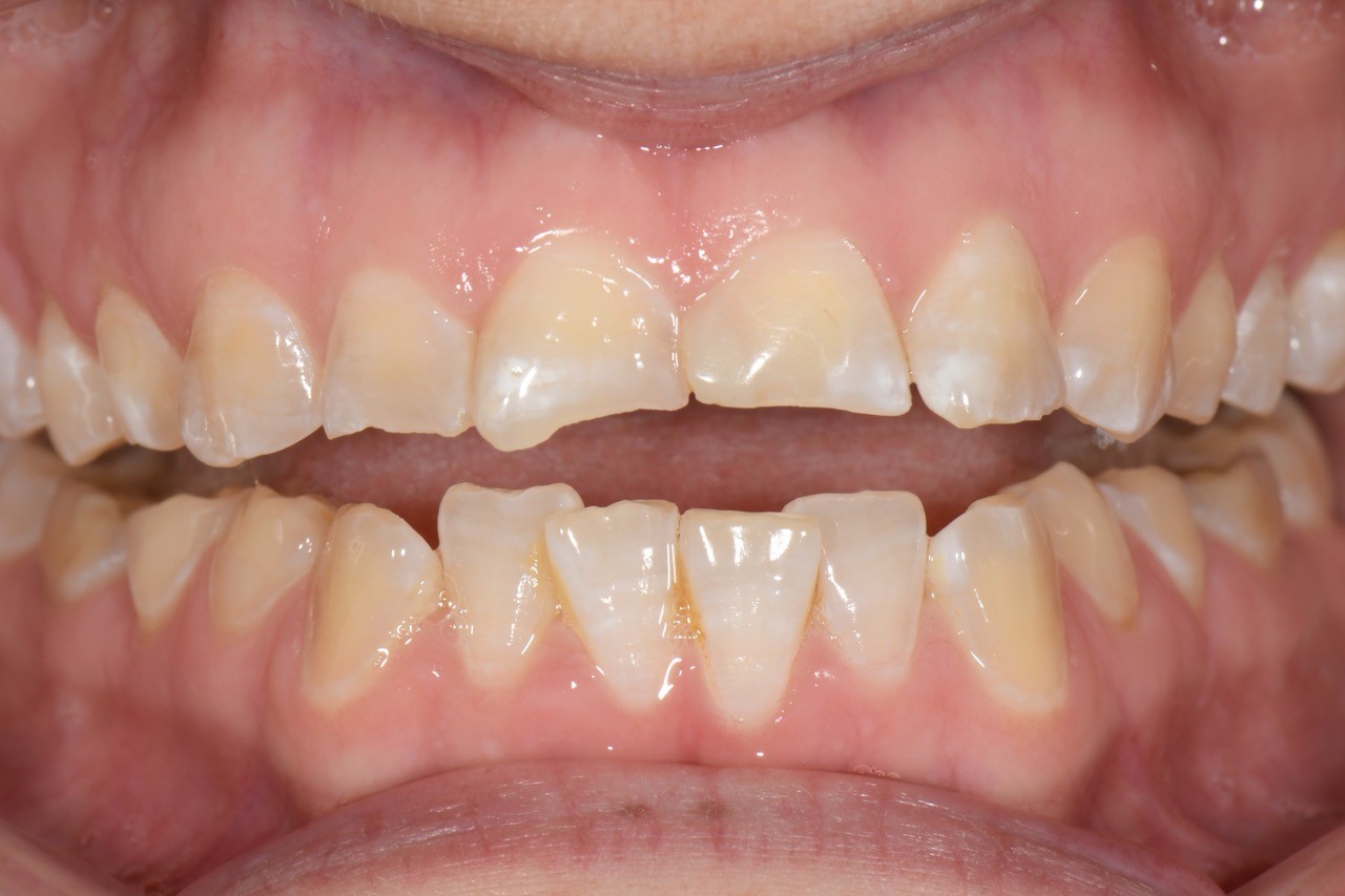
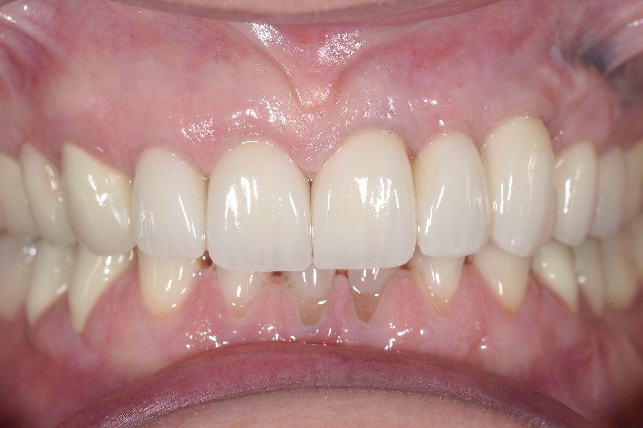
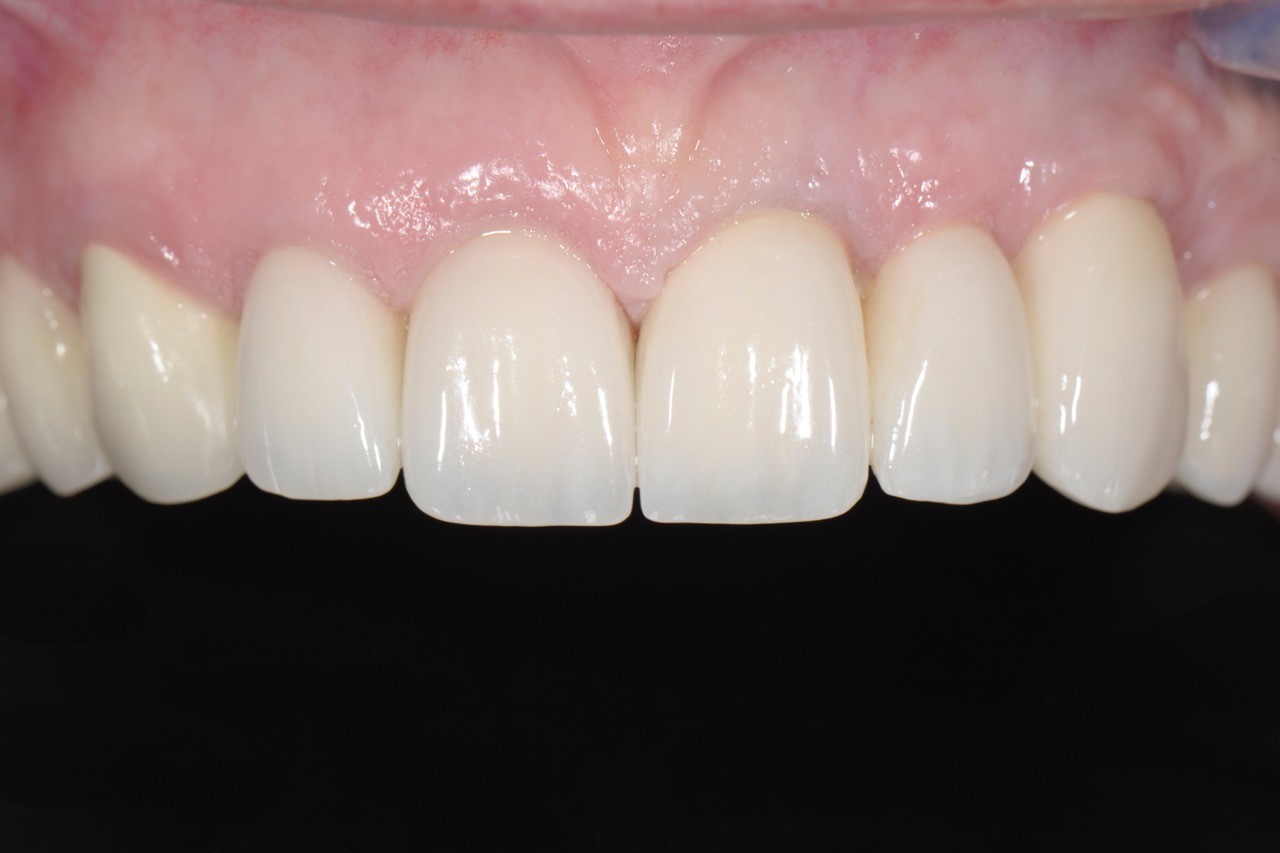
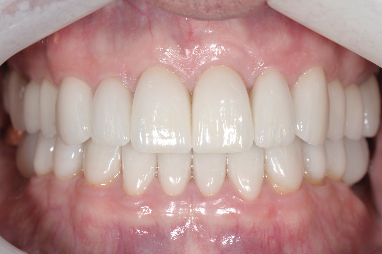
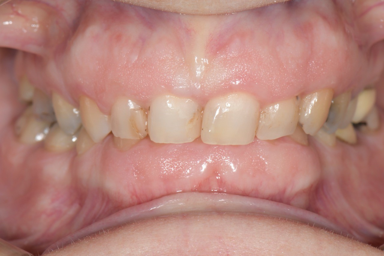
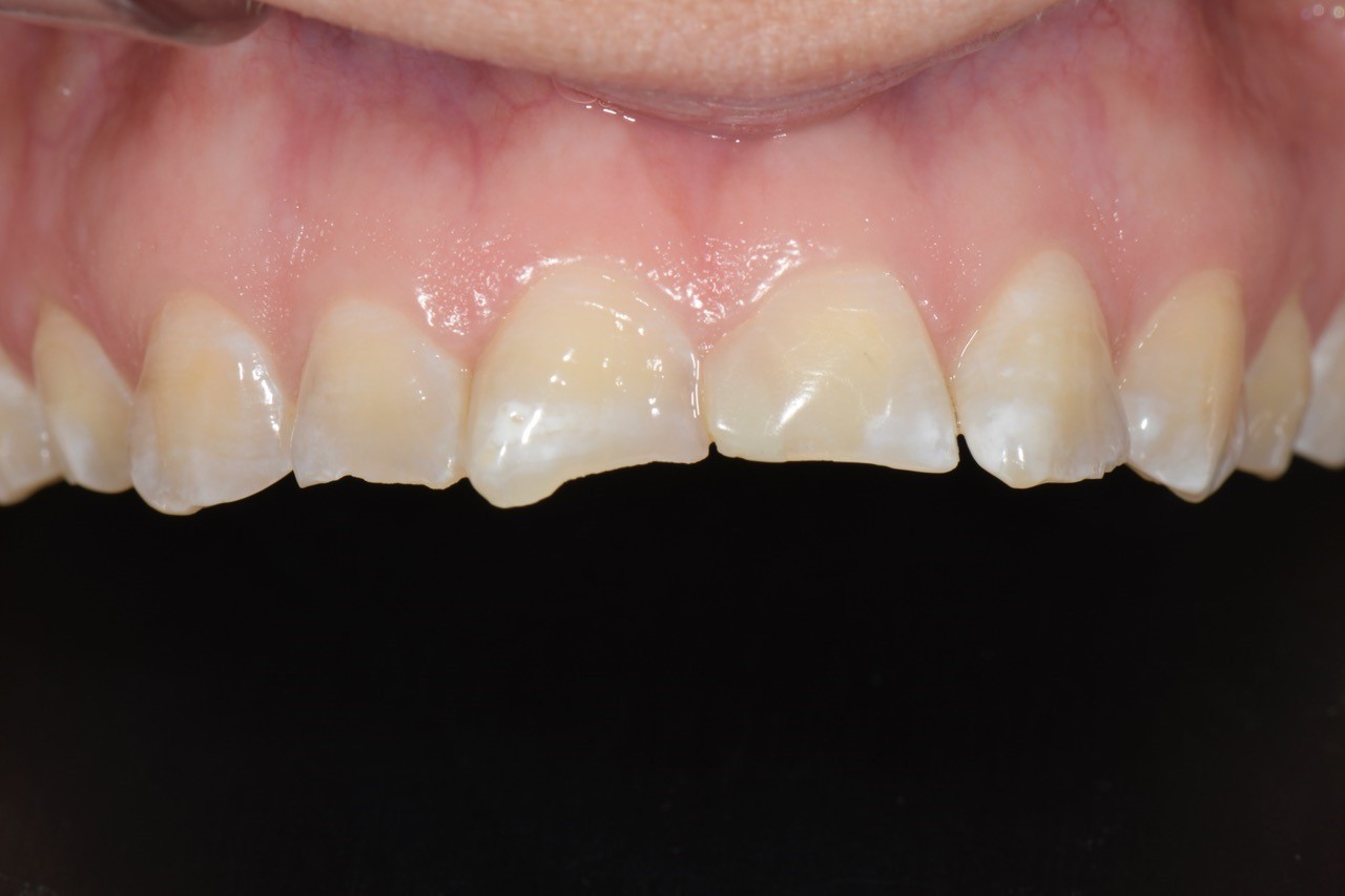
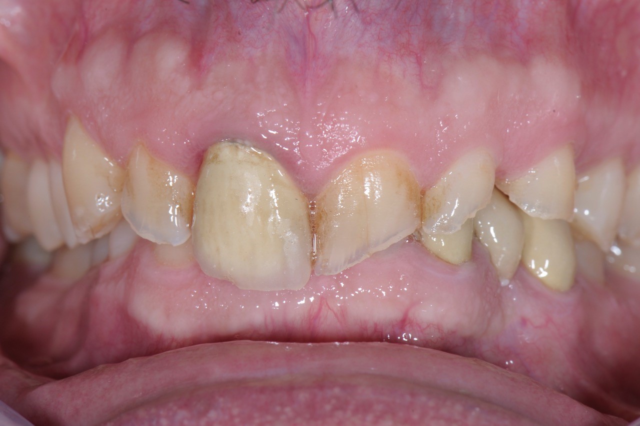
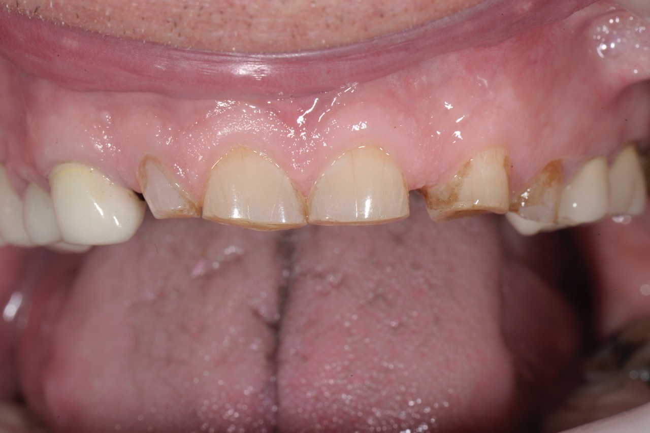
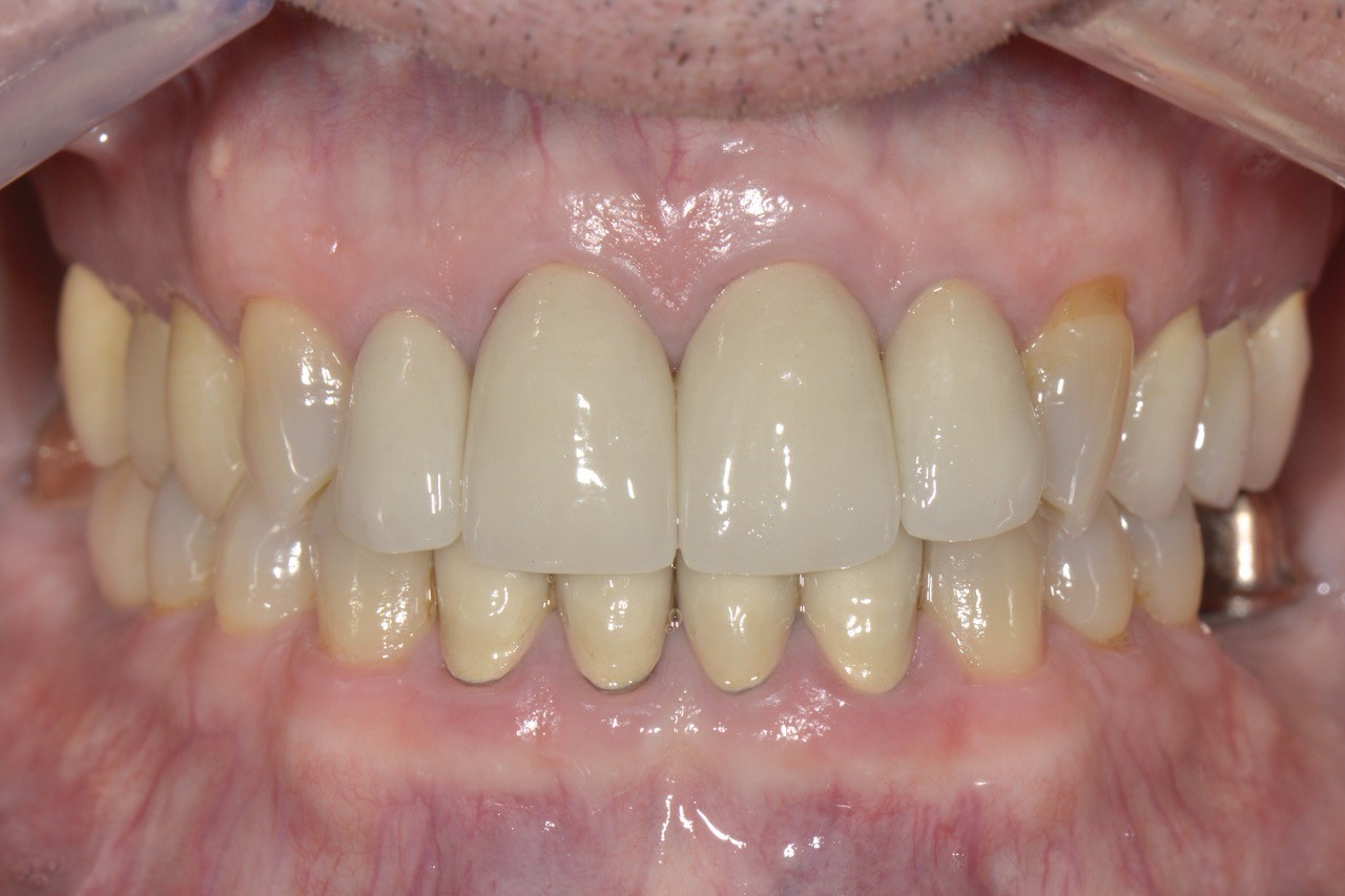
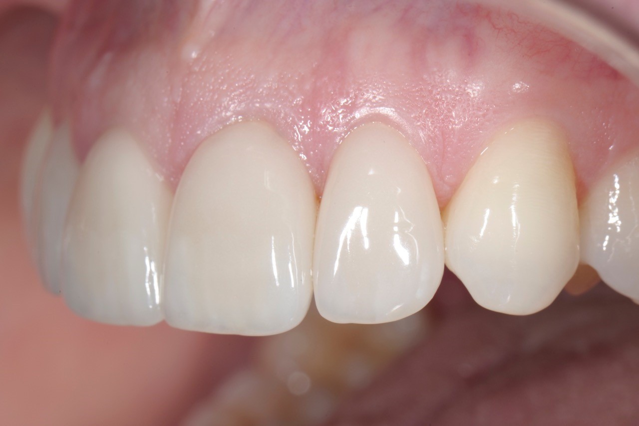
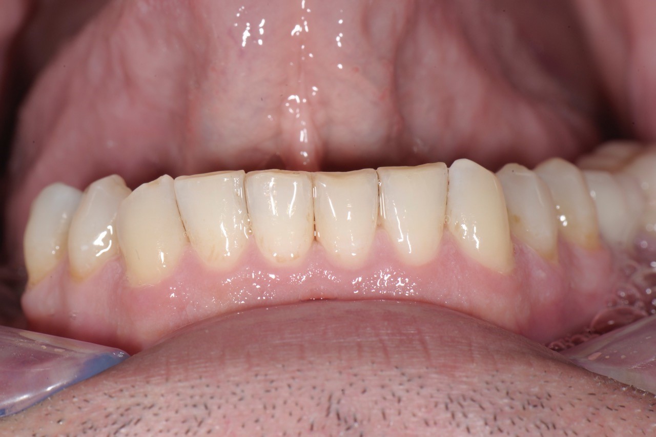
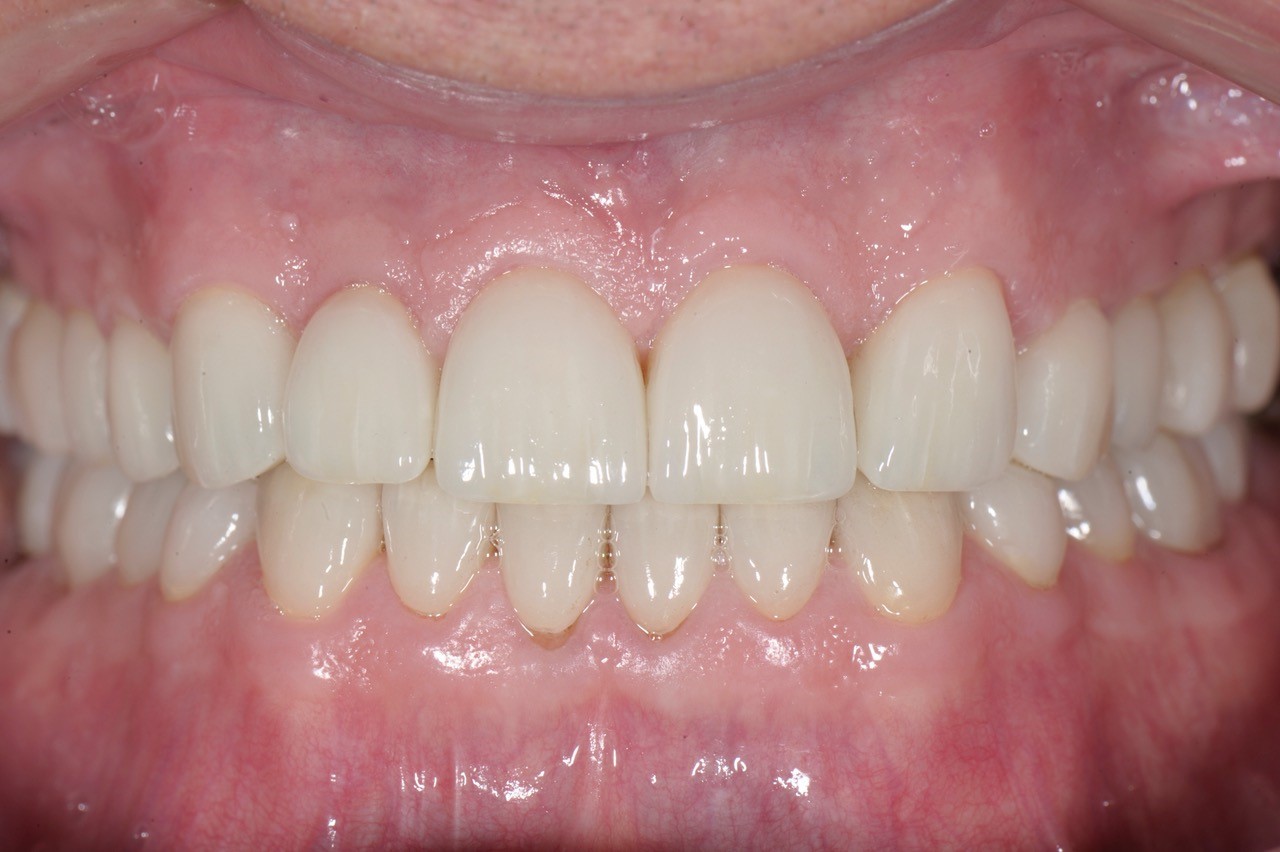
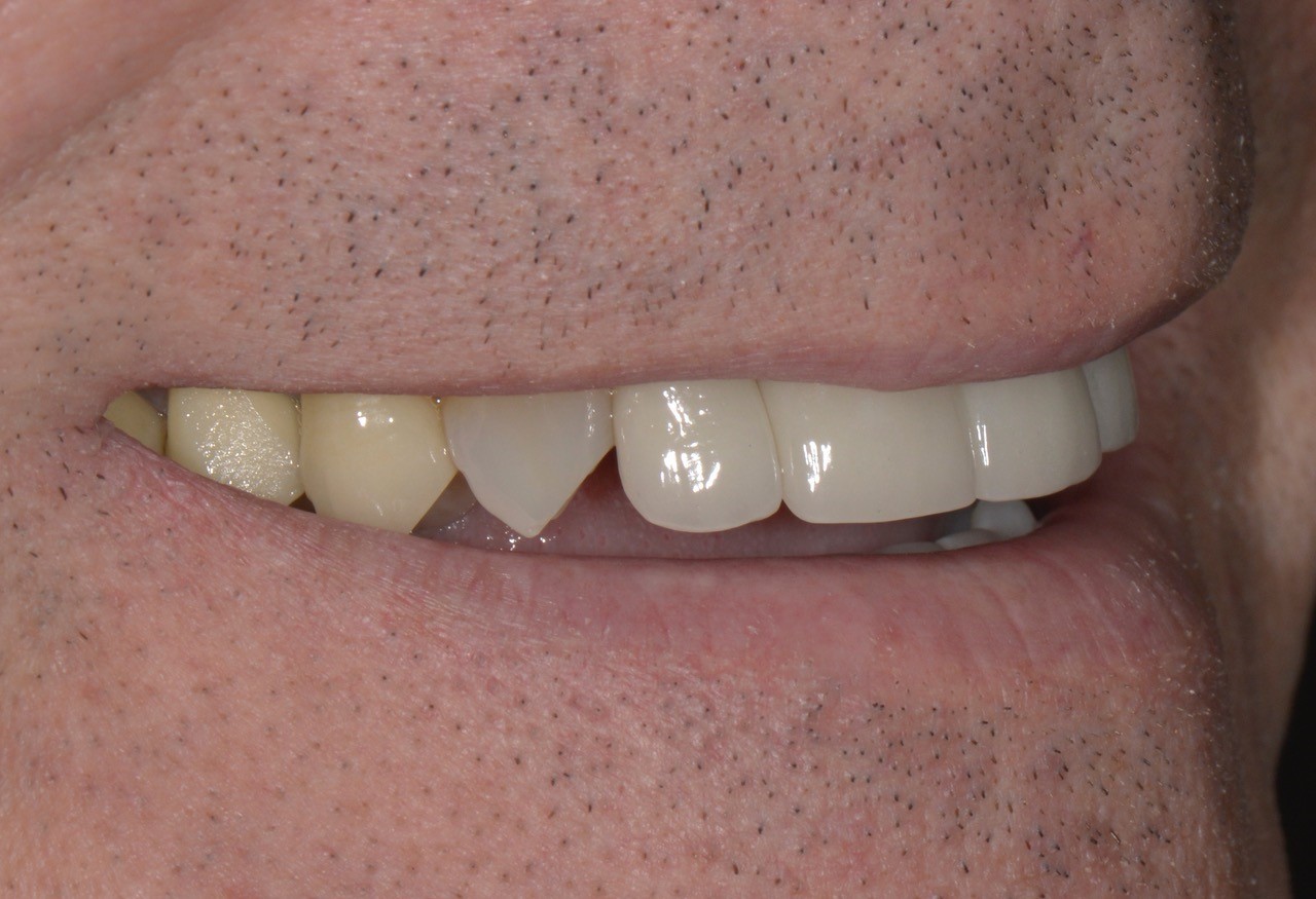
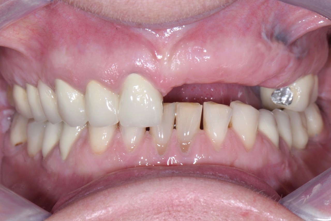
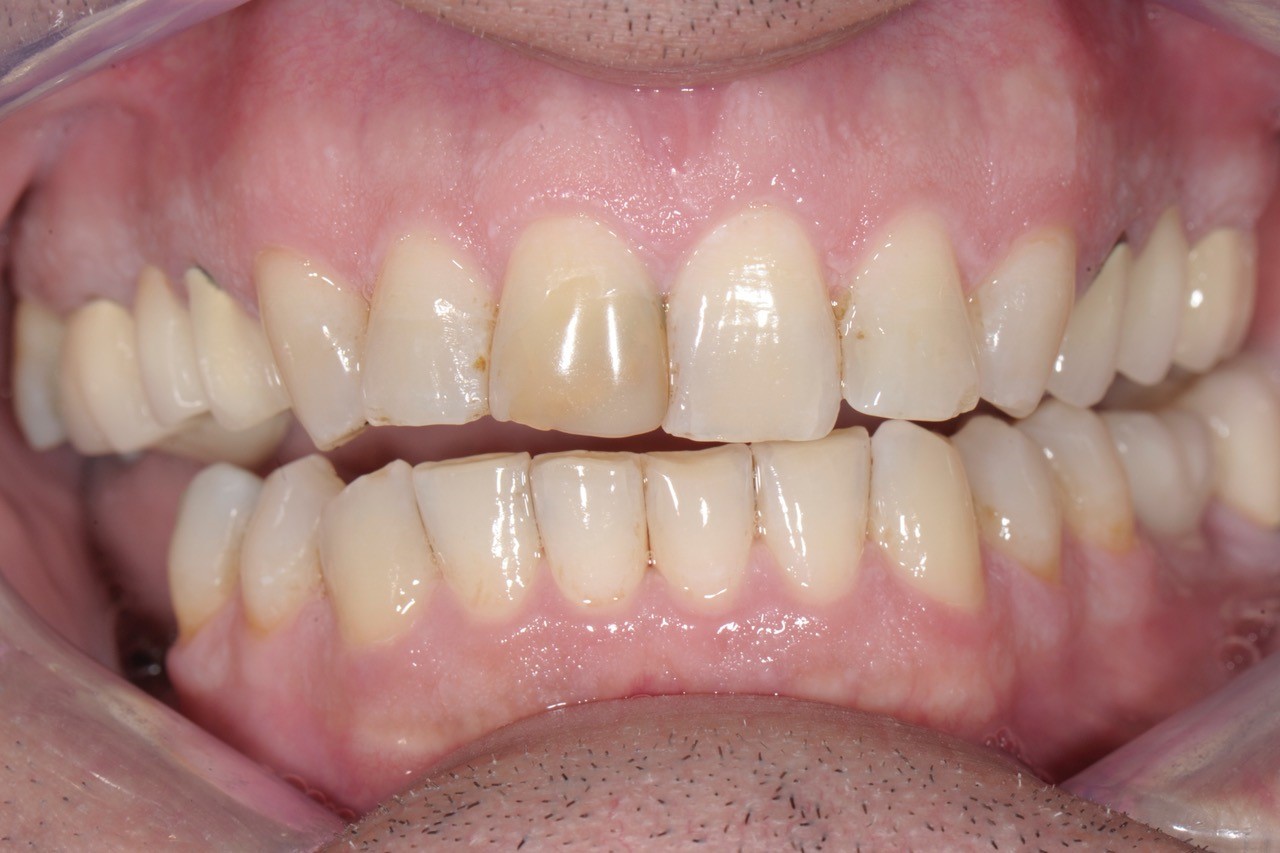
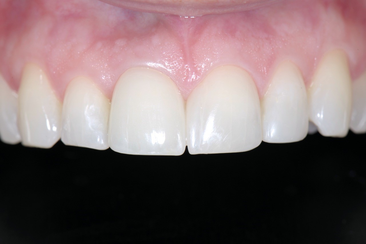
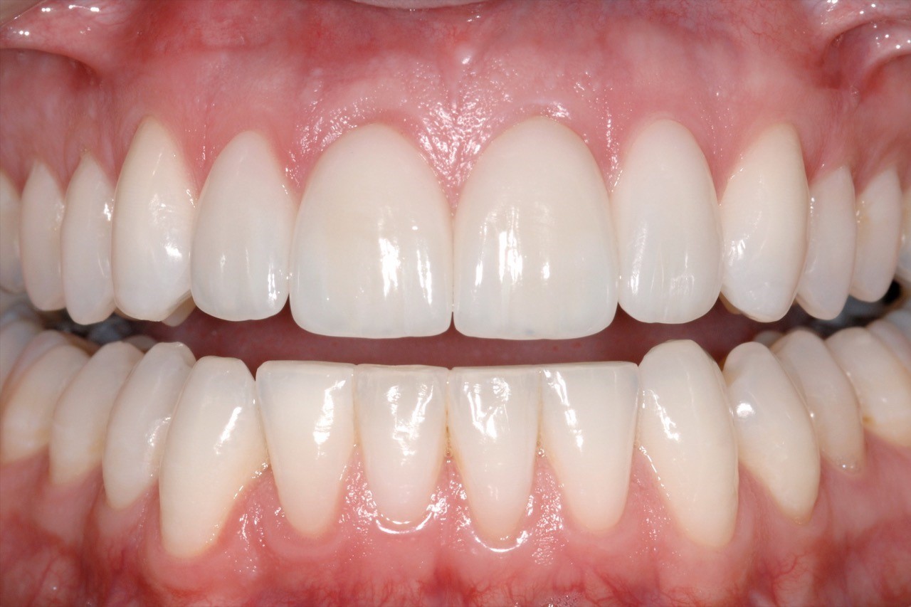
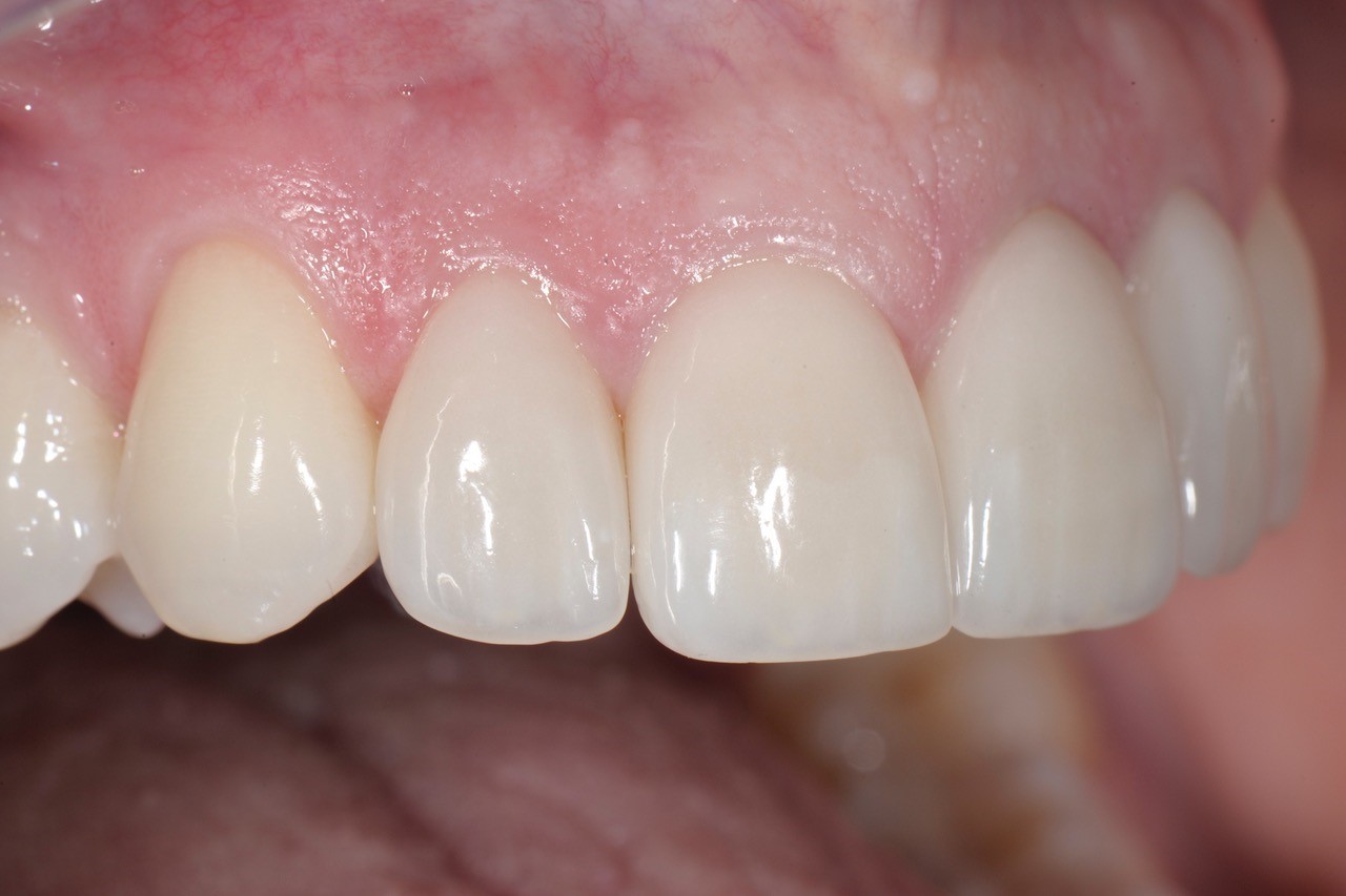
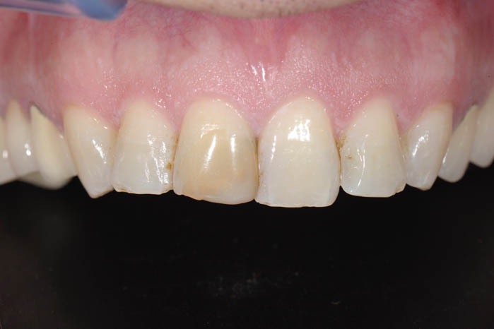
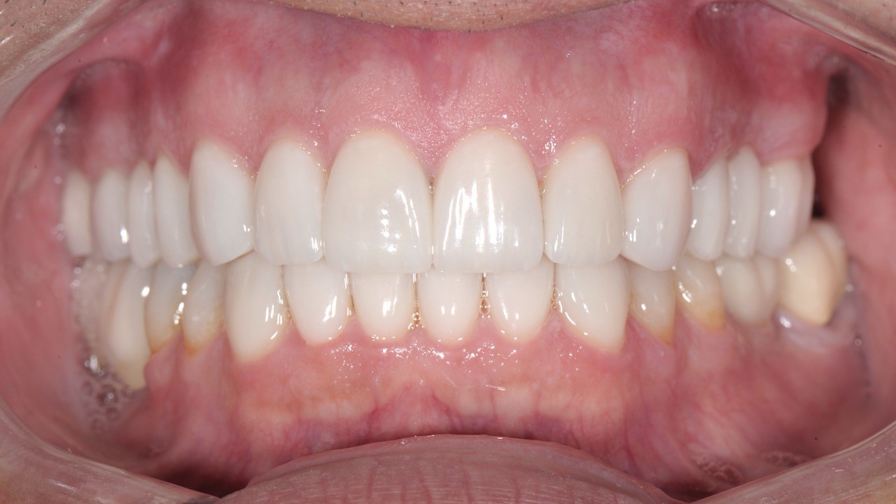
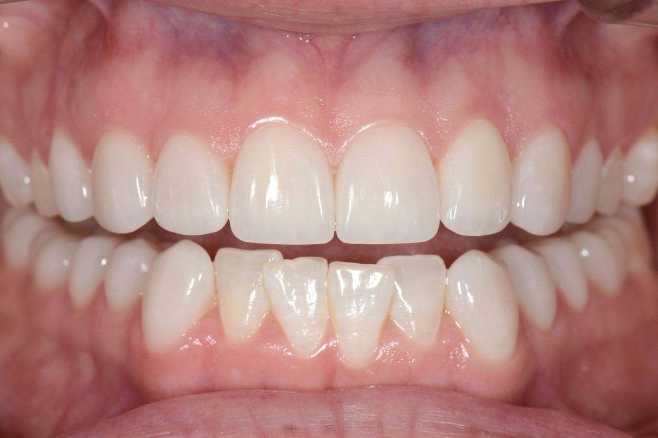
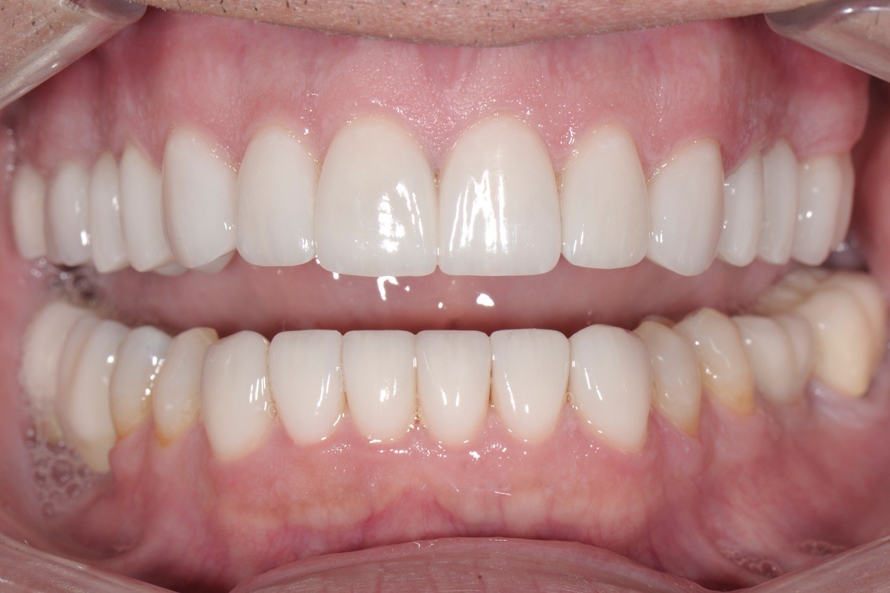
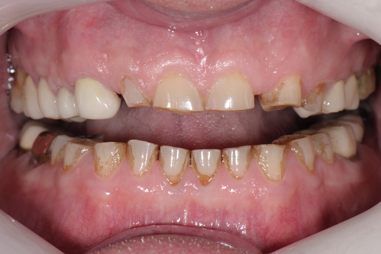
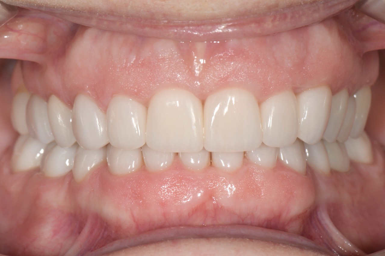
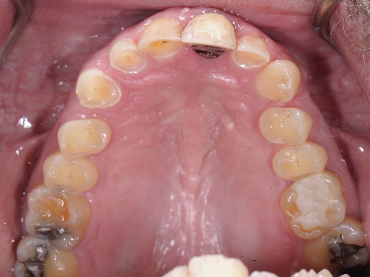
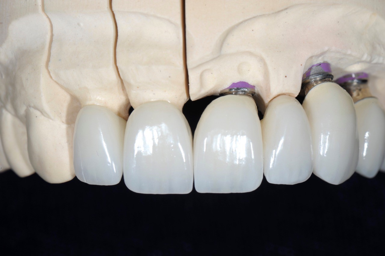
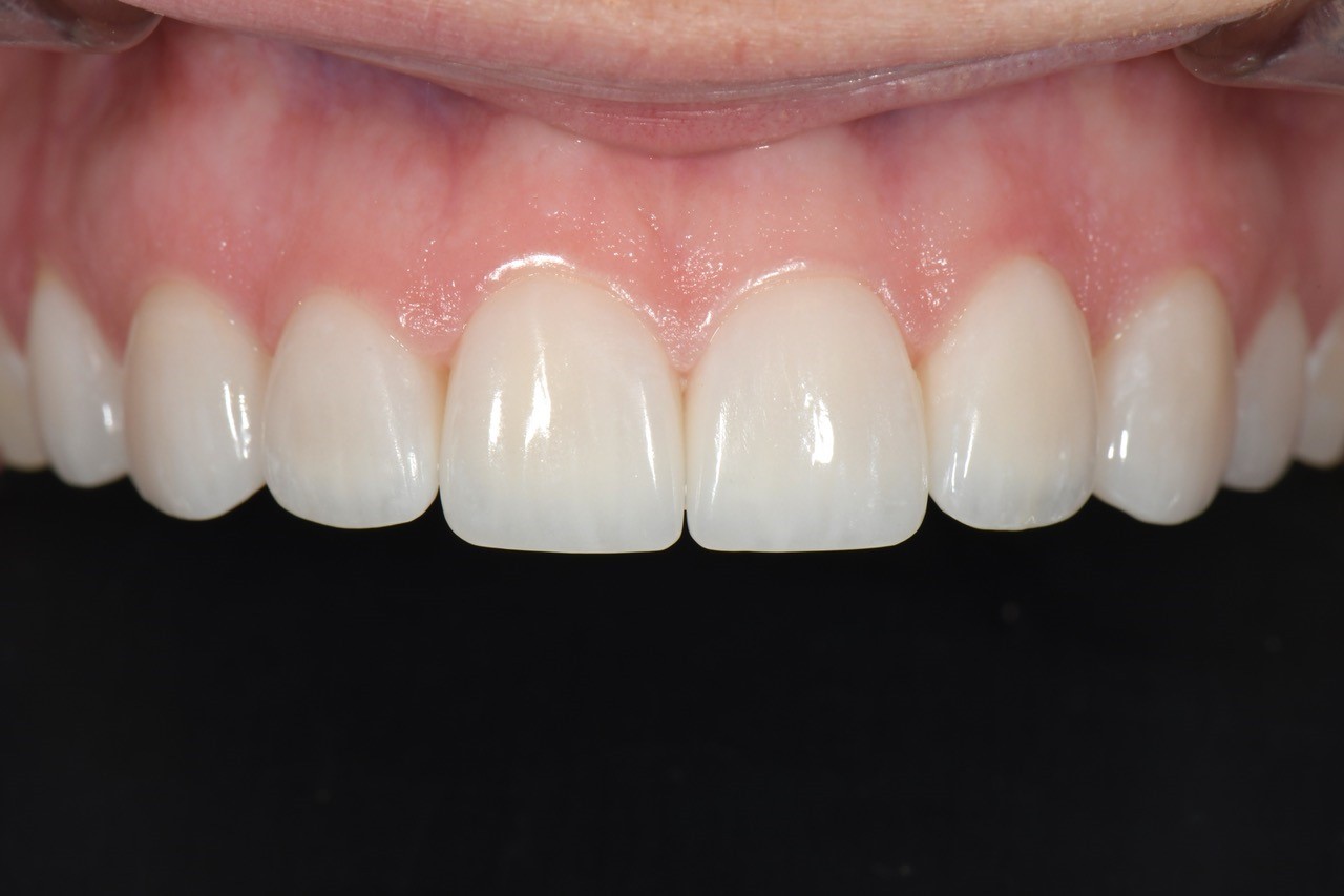
SMILE GALLERY
There are as many reasons to reinvent your smile are there are people who smile. Whether one tooth doesn’t look quite like you want it to, or a lifetime of wear or even trauma has made you shy to smile, we have solutions to help. You may not even know exactly what we can do – you have so many choices! That’s why we have this gallery of smile solutions. It will help you see what’s possible.























































































